TMJ 'dysfunction' - Health implications

Within this forum, you will discover valuable insights on how a 'dysfunctional' jaw, dental arch anomalies, and various body asymmetries can contribute to illness from a unique perspective. This is your go-to resource for finding effective solutions and achieving lasting relief.
It is currently Sun, 28 Dec 2025, 2:00 am

All times are UTC [ DST ]




Post new topic Reply to topic  [ 1 post ] 
Author Message
PostPosted: Wed, 02 Mar 2022, 1:57 pm 
Offline
Site Admin

Joined: Fri, 28 Sep 2012, 9:08 pm
Posts: 244
Bulimia nervosa is supposed to be a psychiatric problem that takes the form of over eating and purging by self-induced vomiting. The condition usually begins in the late teens (coincidental upon the time a child needs or is having corrective orthodontic treatment) but can also occur earlier. Bulimia is often linked with anorexia. It is mainly a condition that affects females, one in ten bulimics are male.

Experience shows that many patients needing TMJ treatment have Bulimia as one of the symptoms. In less severe cases, it disappears fairly rapidly after proper symmetry treatment is instituted. Others may take longer, but eventually all patients seem to recover.

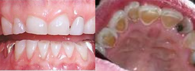
Patients often present with severe attrition of the teeth. This observation is very real for the patient, but convention has it that psychiatric care is needed and any attention to the teeth is only undertaken because of the severe sensitivity which develops from constant vomiting, as in the next photograph.

Please note the severe attrition on the biting edge of the teeth. The erosion on the palatal surfaces is because of vomiting out partly digested acidic food.
Attachment:
Bulimic attrition.PNG
Bulimic attrition.PNG [ 158.71 KiB | Viewed 229262 times ]


Bulimia can cause serious dental problems, and the longer the condition exists, the worst the problem will be. The frequent vomiting that occurs with bulimics can cause the enamel on teeth to wear down over time, resulting in tooth decay, tooth loss, and gum disease. The damage is most obvious on the palatal surfaces of upper teeth, which are affected by the acidic projectile vomiting.

Bulimics are advised not to brush their teeth immediately after purging. The enamel softens within the first 10 seconds. Holding a bit of milk in the mouth immediately afterwards within seconds of contact with the gastric acid will lessen the damage and help remineralise the tooth.

The consequences for a bulimic's teeth can be severe, and loss of teeth further imperils their health. Tooth erosion can occur over a very short space of time if purging is frequent.

A complete dental plan including dental restorations using crowns and composite resins for damaged teeth has to be undertaken together with jaw correction.

Before the psychiatrists condemn these patients into psychiatric care they must examine their teeth and refer them to an appropriate dentist. It is criminal not to do so.
© 2023 M. Amir All rights reserved

Challenging the existing standards in dental and medical care comes with significant costs. Through my website and this forum, I have highlighted practices that, whether intentionally or unintentionally, contribute to ongoing illness. This disruption is not welcomed by the authorities overseeing our healthcare system. To continue publishing evidence-based articles, sharing discoveries from my own patients' experiences that have led to their recoveries through a unique approach, and educating thousands of health professionals and patients globally, we require some support. If this article has substantially enhanced your understanding, please consider making a donation through this link: PLEASE CLICK TO DONATE

Thank you! A heartfelt thank you to everyone who has generously contributed. Your support is deeply valued and enables Dr. Amir to persist in his mission of fostering improved dental and medical practices globally.

------------------------------------------------------------------------------------------NOTICE-----------------------------------------------------------------------------------------------
This article is written in accordance with the Human Rights Act 1998: UK Public General Acts 1998 c. 42 SCHEDULE 1 PART I Article 10, with the intent of serving the resilient British public. This legislation clearly states, Everyone has the right to freedom of expression. This right shall include freedom to hold opinions and to receive and impart information and ideas without interference by public authority. We are committed to addressing any form of harassment, whether direct or indirect, by government bodies or their affiliates, in line with this act and the principles that protect freedom of expression. Additionally, any breaches of the Data Protection Act will be promptly reported to the Information Commissioner's Office and The Law Society ..................................................................................................................................................................................................................................
Disclaimer: This educational article focuses on health benefits from individual perspectives and doesn't imply widespread results. Important to seek a doctor's advice before taking action. It's meant to enhance, not substitute for, medical advice and doesn't detail all possible uses or risks. Always prioritize professional medical advice over information read here.


Share on FacebookShare on TwitterShare on TuentiShare on SonicoShare on FriendFeedShare on OrkutShare on DiggShare on MySpaceShare on DeliciousShare on TechnoratiShare on TumblrShare on Google+
Top
 Profile  
 
Display posts from previous:  Sort by  
Post new topic Reply to topic  [ 1 post ] 

All times are UTC [ DST ]


You cannot post new topics in this forum
You cannot reply to topics in this forum
You cannot edit your posts in this forum
You cannot delete your posts in this forum
You cannot post attachments in this forum

Search for:
Jump to:  
Rules of the BoardThe teamDelete all board cookies
cron
Disclaimer: Please read our Disclaimer of warranties and limitation of liability
Also see information on Intellectual Property Rights
Before posting, please read our Board Rules
Powered by phpBB® Forum Software © phpBB Group